Естетична стоматологія або як виправити форму зубів без брекетів
Красива посмішка давно перестала бути привілеєм обраних. Сьогодні кожен може досягти ідеальної форми зубів, навіть якщо природа не наділила досконалістю. Найцікавіше, що для цього зовсім не обов'язково носити брекети роками. Сучасна естетична стоматологія пропонує революційні рішення, які дозволяють кардинально змінити вигляд зубного ряду за лічені тижні.
Інноваційні методики корекції
Найпопулярнішою альтернативою традиційним брекетам стали прозорі елайнери — практично не помітні капи, які поступово переміщують зуби у потрібне положення. Досвідчений лікар стоматолог у Києві може підібрати індивідуальну програму корекції, враховуючи особливості конкретного випадку. Приміром, спеціалісти клініки DentArt застосовують найсучасніші технології 3D-моделювання для точного планування лікування.
Для випадків, коли потрібна швидка корекція окремих зубів, оптимальним рішенням стає художня реставрація композитними матеріалами. Цей підхід дозволяє змінити форму, розмір та колір зубів за одне відвідування, що робить його надзвичайно популярним серед пацієнтів із обмеженим часом.
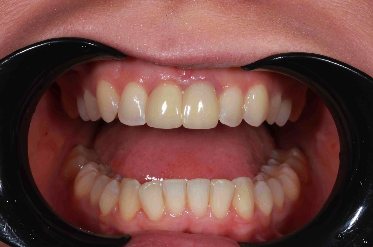
Найбільш кардинальні зміни дозволяють досягти керамічні вініри — тонкі накладки, які кріпляться на передню поверхню зубів. Вони здатні приховати будь-які недоліки та створити ефект ідеально рівного зубного ряду, навіть якщо природні зуби мають значні дефекти форми чи кольору. Сучасні технології дозволяють виготовляти вініри товщиною менше одного міліметра, що мінімізує обточування здорових тканин та зберігає максимум природної структури зуба.

Переваги альтернативних рішень
Головною перевагою сучасних методів корекції є швидкість досягнення результату. Якщо традиційне ортодонтичне лікування може тривати від півтора до трьох років, то естетична корекція займає значно менше часу. Проте швидкість — це далеко не єдина причина популярності таких рішень. Серед інших ключових переваг сучасних підходів:
- Естетичність протягом усього періоду лікування;
- Можливість зняття конструкцій під час важливих подій;
- Відсутність дискомфорту від металевих елементів;
- Легкість догляду за ротовою порожниною;
- Швидша адаптація.
Завдяки таким перевагам пацієнти отримують не лише красиву посмішку, а й зберігають психологічний комфорт протягом усього періоду лікування. Це особливо важливо для тих, хто постійно знаходиться на публіці або працює у сфері, де зовнішній вигляд має принципове значення.
Сучасна естетична стоматологія відкриває нові можливості для кожного, хто мріє про бездоганну посмішку. Головне — вчасно звернутися до кваліфікованого спеціаліста, який підбере найкращий варіант відповідно до потреб та можливостей.
Будем весьма признательны, если поделитесь этой новостью в социальных сетях
Читайте Cxid.info у Google Новини Підписуйтесь на наш Telegram-канал і будьте в курсі подій та корисних новин!